Argomento del mese di Aprile
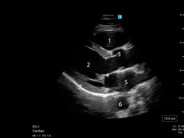
POCUS NEL CONTESTO PREOPERATORIO – CUORE Fabio Magarotto1, Federica Arturi1, Gabriele Melegari2 Università degli Studi di Modena e Reggio Emilia, Scuola di Specializzazione Anestesia e Rianimazione, Terapia Intensiva e del…



